강서 YD 진료 케이스

강아지 간문맥전신단락(PSS) 치료 케이스 – 강서구 동물병원

반려견이 조금만 뛰어도 쉽게 지치거나, 식욕이 줄고 설사를 반복한다면, 단순한 컨디션 저하로 넘기기보다는 체내 대사 과정에 이상이 생겼을 가능성을 고려해보셔야 합니다. 

간 기능 저하나 간문맥전신단락(PSS)과 같은 질환은 초기 증상이 뚜렷하지 않아 보호자님이 놓치기 쉬운 경우가 많습니다. 이번에 소개드릴 케이스는, 겉으로는 특별한 이상이 없어 보이지만 간 해독 기능 저하와 관련된 정밀 검사에서 간문맥전신단락(Portosystemic Shunt, PSS)이 확인된 사례입니다.

오늘은 간문맥전신단락 질환과 본원에서 치료한 케이스를 함께 살펴보겠습니다. 

강아지 간문맥전신단락(PSS) 치료 케이스

이번 환자는 2살령 중성화된 수컷 비숑프리제로 내원 당시 보호자님께서 “조금만 놀아도 쉽게 지친다”, “가끔 설사를 한다”, “다른 병원에서 간 수치가 높다고 했다”고 말씀해주셨습니다.

과거 병력은 없었으며, 보호자님의 설명을 바탕으로 간 기능 이상 또는 선천성 간문맥 이상을 의심하고 정확한 진단을 위해 혈액검사, 방사선, 복부초음파 검사, CT 검사를 진행하였습니다. 

강아지 간문맥전신단락(PSS) 진단

혈액검사에서는 다음과 같은 소견이 확인되었습니다.

  • ALT: 89 (정상범위 초과)
  • ALP: 331 (정상범위 초과)
  • BUN: 10.3 (정상범위)
  • NH₃(암모니아): 121 μg/dL로 상승된 상태로 간 해독 기능 저하 의심되었습니다.

방사선 검사 결과 간 크기가 정상보다 작게 관찰되는 소간증(microhepatica) 소견이 확인되었습니다.

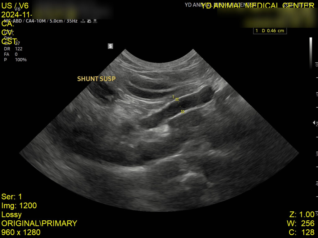
복부 초음파에서는 우측 위위정맥(Rt. gastric vein)에서 비정상 혈관이 관찰되었습니다. 이는 간으로 가는 혈류가 우회 중인 것으로 간문맥전신단락(PSS)가 의심 되었습니다.

마지막으로 CT 검사 결과, 우측 위정맥과 후대정맥 사이에 단일 간외성 단락이 형성되어 있는 것이 확인되었습니다. 이를 통해 단일, 간외성, 우측 위정맥-후대정맥 간문맥전신단락(PSS) 으로 진단되었습니다.

강아지 간문맥전신단락(PSS) 치료 

환자는 선천성 간문맥전신단락(Congenital PSS)으로 최종 진단 되었습니다. 입원 치료를 통해 혈중 암모니아 수치를 조절하고, 아메로이드 링(ameroid constrictor)을 이용하여 수술적인 교정을 시행하였습니다.

또한 환자는 입원 기간 동안 단백질 제한 사료를 급여하며, 간 기능에 부담을 최소화하고 암모니아 생성량을 조절하는 데 중점을 두었습니다.


락툴로즈(Lactulose)를 병행 투여하여 장 내에서 암모니아의 흡수를 억제하고 배설을 촉진하도록 유도했습니다. 장내 세균 감소와 간성 뇌병증 발생을 예방하는 목적으로 항생제를 함께 사용하였습니다. 

강아지 간문맥전신단락(PSS) 경과 

환자는 안정적인 상태에서 아메로이드 링(ameroid constrictor)을 이용한 수술을 진행하였습니다. 수술 후 4일차에 재검한 혈액검사에서는 암모니아 수치가 감소한 것이 확인되어, 수술 경과가 양호함을 보여주었습니다. 


수술 1개월 후 재진에서 PV/AO ratio (간문 수준의 대동맥과 문맥의 직경 비율) 이 약 0.82로(수술전 0.51) 로 확인되어 문맥의 직경이 증가하였음을 확인할 수 있었습니다.



퇴원 시 보호자님께는 아래와 같은 관리 지침을 안내드렸습니다:

단백질 제한 사료는 계속 유지해주셔야 하며, 이는 간성 뇌병증 재발을 막는 핵심적인 부분입니다.


락툴로즈와 항생제는 반드시 수의사의 지시에 따라 정확한 용량과 시간에 맞춰 투약해 주셔야 하며, 임의로 중단하거나 변경하지 않도록 주의가 필요합니다.


또한 정기적인 내원 검진을 통해 혈중 암모니아 수치 및 간 수치 모니터링을 지속해야 하며
경련, 식욕 저하, 무기력, 구토 등 증상이 재발할 경우 즉시 내원하여 재평가를 받는 것이 중요합니다.


무엇보다 보호자님과의 충분한 소통을 통해 생활환경 내 스트레스를 최소화하고 안정적인 일상을 유지하는 것이 회복과 재발 방지에 큰 도움이 됩니다.

간문맥전신단락(PSS)이란?

간문맥전신단락(Portosystemic Shunt, PSS)은 소장에서 흡수된 혈액이 간을 거치지 않고 체순환으로 우회하는 선천성 혹은 후천성 질환입니다.

정상적인 경우 간문맥(portal vein)을 통해 간으로 유입된 혈액은 간에서 해독 및 대사 과정을 거치게 되지만, PSS가 발생하면 이 과정이 생략되어 독성 물질(특히 암모니아 등)이 체내에 축적될 수 있습니다.

소형견에서 비교적 흔하게 발생할 수 있고, 특히 성장기 또는 중성화 이전의 연령에서 발견되는 경우가 많습니다.

간문맥전신단락(PSS)의 주요 증상

PSS는 간 기능이 정상적으로 작동하지 못하면서 다양한 전신 증상을 유발합니다. 간은 단백질 대사, 독소 해독, 혈액 응고 인자 생산, 에너지 저장 등 중요한 기능을 담당하는 장기이기 때문에, 이 기능이 저하되면 신경계, 소화기계, 성장과 대사 전반에 영향을 줄 수밖에 없습니다.

아래는 PSS에서 가장 흔히 관찰되는 주요 증상들입니다:

1. 식욕부진, 성장 부진

간은 단백질과 탄수화물, 지방의 대사뿐 아니라 영양소 저장 및 공급에도 관여합니다.
PSS 환아의 경우 간을 통하지 않고 전신 순환으로 직접 가는 혈류로 인해 영양소 대사에 필요한 간 기능이 제대로 작동하지 않아, 다음과 같은 양상이 나타날 수 있습니다

  • 식사 시간이 되어도 사료를 피하거나 조금 먹고 그만두는 모습
  • 간식에만 반응하고 주식 사료에는 무관심한 경우
  • 체구가 또래에 비해 작고 마른 편이며, 성장 곡선이 눈에 띄게 정체된 경우

특히 선천성 PSS의 경우 생후 수개월 내에 성장 속도가 둔화되거나 체중이 늘지 않는 경우가 많습니다.

2. 행동 변화, 경련, 실신 (간성 뇌병증)

PSS는 간성 뇌병증(hepatic encephalopathy)을 유발할 수 있습니다.
이는 암모니아와 같은 독성 물질이 간에서 해독되지 않고 뇌로 직접 유입되면서 발생하는 상태로, 신경계 이상을 초래합니다.

  • 사물에 부딪히거나 방향 감각을 잃고 뱅뱅 도는 모습
  • 일상적인 행동(걷기, 계단 오르기 등)에서 실수하거나 멍한 상태
  • 발작(근육 경련, 경직), 순간적인 실신

간성 뇌병증은 간 기능이 정상일 때에는 나타나지 않는 매우 특이적인 증상이며, 즉시 치료가 필요한 중증 징후입니다.

3. 구토, 설사, 체중 감소

PSS가 있을 경우 간 기능 저하와 함께 담즙의 생성 및 분비 이상, 장내 독소 축적, 장벽 투과성 변화 등이 함께 일어나 위장관 증상을 유발할 수 있습니다.

  • 식사 직후 혹은 공복 시 반복적으로 구토
  • 수일 간격으로 간헐적인 설사가 나타남

단순한 소화기 질환으로 오인될 수 있지만, 반복적이거나 식후에만 증상이 악화되는 경우 PSS 등 질환을 의심해봐야 합니다.

4. 잦은 피로감 및 무기력

간 기능이 떨어지면 당연히 에너지 대사에도 문제가 생깁니다.
PSS 환자는 외형상 큰 이상은 없어 보이지만, 보호자는 평소보다 활동량이 줄었다, 산책을 나가도 쉽게 앉거나 누운다, 놀자고 유도해도 반응이 적다고 느끼게 됩니다.

  • 포도당 대사 및 저장 기능이 떨어져 에너지 공급이 원활하지 않음
  • 간성 뇌병증에 의한 중추신경계 기능 저하
  • 근육 위축, 체력 저하 등으로 활동 의욕이 감소됨

이러한 증상이 나타난다면, 병원에 내원해 진료를 받아보시는 것이 좋습니다. 

간문맥전신단락(PSS), 빠른 내원이 필요합니다. 

강아지 PSS는 초기에 증상이 뚜렷하지 않을 수 있지만, 간성 뇌병증이나 성장 지연 등으로 이어질 수 있어 조기 진단과 치료가 중요합니다.
혈액암모니아 수치, 간 크기, 비정상 혈관 유무 확인을 위한 CT 또는 도플러 초음파 검사는 반드시 필요하며, 수술적 교정 이후에도 지속적인 간 기능 모니터링이 필수입니다.

서울 강서구에 위치한 동물병원 강서YD동물의료센터는 강아지 내시경 치료를 비롯하여 반려동물에게 나타날 수 있는 다양한 병증을 24시간 진료하고 있습니다. 

야간 및 응급 시에도 방문 및 전화 문의가 가능하며 각 분야 전공의의 협진을 통해 반려견의 건강 상태를 빠르게 검진하고 정확하게 진료할 수 있는 프로세스를 보유하고 있지요. 고온, 구토, 설사, 처지고 무기력한 모습, 의식 저하 등 반려동물에게 평소와 다른 모습들이 관찰되었다면 대표번호(02-518-7500) 혹은 채팅을 통하여 언제든 도움을 드리도록 하겠습니다. 

이상 강서구동물병원 강서YD동물의료센터였습니다. 감사합니다.