강서 YD 진료 케이스

강아지 출혈성 대장염 치료 케이스 – 강서구 동물병원

강아지에서 갑작스럽게 혈변이나 점액변을 보이는 경우 보호자님들은 단순한 장염으로 생각하기 쉽습니다. 하지만 원인에 따라서는 심각한 탈수와 전신 증상으로 이어질 수 있어 주의가 필요합니다. 오늘은 본원에서 출혈성 대장염을 진단하고 치료한 사례를 소개해드리겠습니다.

강아지 출혈성 대장염 치료 케이스

이번 환자는 8개월령 중성화 암컷 진도견으로, 3주 이상 지속된 설사로 내원하였습니다. 보호자님 말씀에 따르면, 이전 병원에서 항생제와 소화제를 처방받아 복용했을 때는 일시적으로 호전되었으나, 투약 중단 후 4일 만에 다시 잦은 설사가 시작되었습니다. 하루 10회 이상 점액변을 보였고, 내원 당일에는 노란색 거품을 동반한 구토 1회와 선명한 혈변도 확인되었습니다. 보호자님은 특별한 사료 변경은 없었으며, 평소 간식으로 고구마와 계란 노른자를 급여해왔습니다. 환자는 정기 예방 접종 및 구충도 완료된 상태였습니다.

강아지 출혈성 대장염 진단

환자는 신체검사와 혈액검사, 감염병 키트검사, 복부 초음파 검사, PCR 검사를 진행하였습니다.

신체검사 결과

  • 체온: 39.4℃ (발열)
  • 중등도의 탈수 소견이 확인되었습니다.

혈액검사 결과

  • 혈액검사에서는 특별한 이상 소견이 확인되지 않았습니다.

감염병 키트 검사 결과

지알디아, 코로나, 파보 모두 음성으로 확인되었습니다.

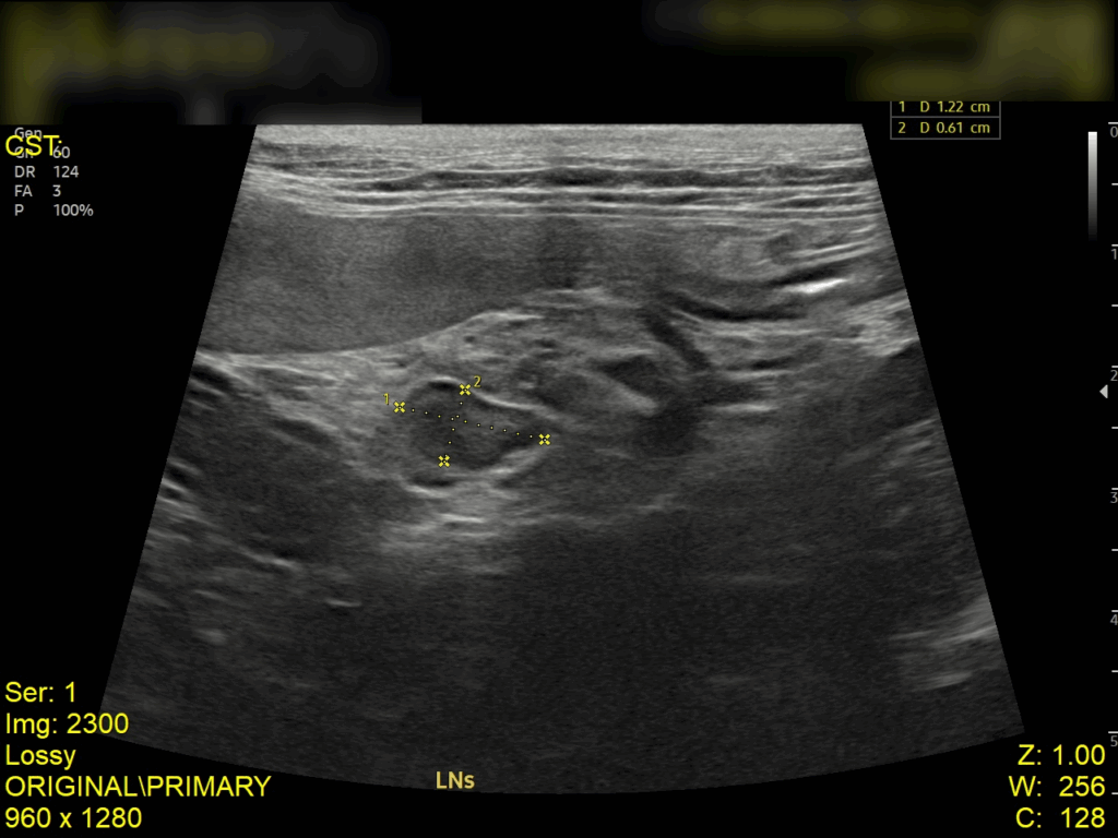
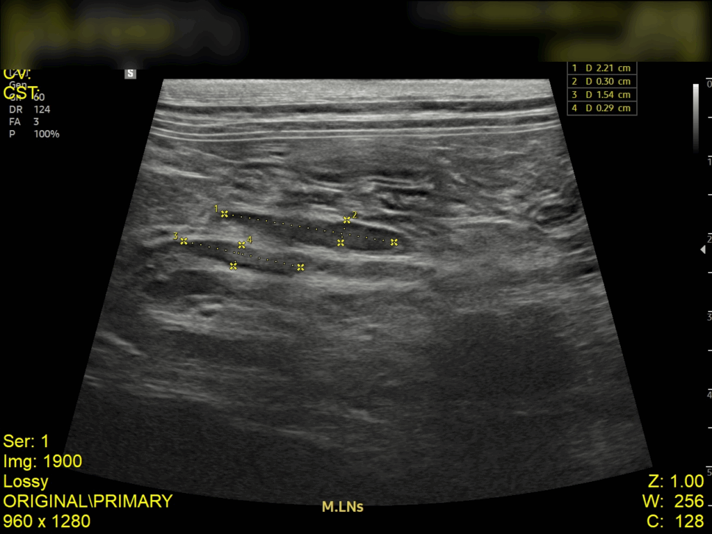
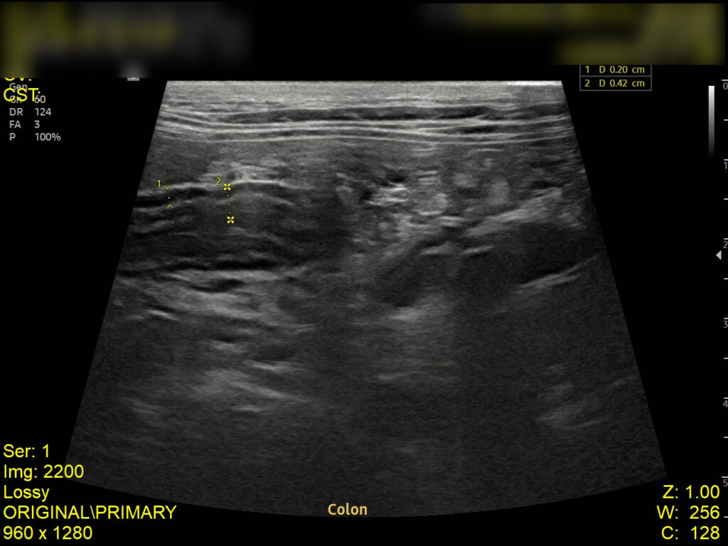
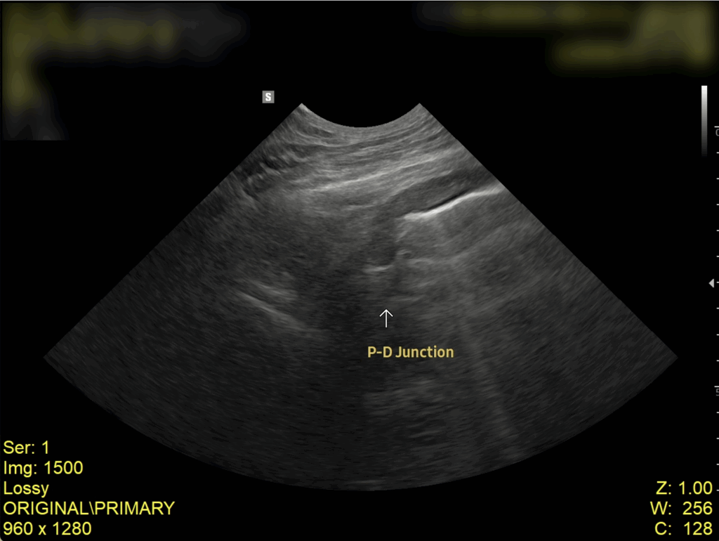
복부 초음파 검사 결과

초음파 검사 결과, 복강 내 림프절이 비대된 모습이 확인되었고, 장벽 두께가 정상보다 두꺼워진 것을 확인되었습니다. 이는 장 내 염증 반응이나 감염성 원인에 의해 장벽이 자극을 받고 있음을 의미합니다.

PCR 검사 결과

PCR 검사를 의뢰하였고 검사 결과 Clostridium spp. 및 EPEC 세균 감염이 확인되어 출혈성 대장염으로 최종 진단하였습니다.

강아지 출혈성 대장염 치료 

환자는 내원 시 중등도의 탈수와 발열이 확인되어, 즉시 입원 치료를 시작하였습니다. 출혈성 대장염에서 설사와 혈변이 반복되면 체내 수분과 전해질이 빠르게 손실되기 때문에, 탈수를 교정하는 것이 가장 우선적인 치료입니다.

  • 수액 치료
    정맥을 통한 수액 공급으로 체내 수분과 전해질 균형을 맞추어 주었으며, 이는 혈압 유지와 장기 기능 보호에 매우 중요한 과정입니다.
  • 항생제 치료
    PCR 검사에서 확인된 Clostridium spp. 및 EPEC 감염에 맞는 항생제를 투여하여 장내 세균 증식을 억제하였습니다. 이는 장벽 손상과 출혈을 줄이고, 재발을 방지하기 위한 핵심 치료 단계입니다.
  • 대증치료
    구토로 인한 탈수와 위장관 자극을 완화하기 위해 항구토제를 병행하였으며, 장벽 보호제와 위장관 기능 조절제를 투여해 장 운동을 안정화시켰습니다.
  • 식이 관리
    치료 기간 동안 장에 부담을 최소화할 수 있도록 소화가 잘 되는 처방식을 소량씩 급여하며, 환자의 식욕과 흡수 상태를 관찰했습니다.

입원 치료 후 환자는 활력이 회복되고 혈변이 더 이상 관찰되지 않아 퇴원할 수 있었습니다. 퇴원 시에는 보호자님께 식이 관리, 수분 섭취 유지, 증상 재발 모니터링 방법에 대해 안내드렸습니다.

강아지 출혈성 대장염이란?

출혈성 대장염(Hemorrhagic Colitis)은 강아지에서 갑작스럽게 발생하는 대장 염증 질환으로, 대변에 선명한 혈액이나 점액이 섞여 나오는 것이 특징입니다. 대장 내벽이 손상되어 출혈과 함께 급성 설사가 동반되는 경우가 많으며, 빠르게 진행되면 탈수나 전신 쇠약으로 이어질 수 있습니다.

강아지 출혈성 대장염 원인과 증상

주요 원인

  • 세균성 감염: 클로스트리디움(Clostridium) 같은 세균이 장내에서 과증식해 발생할 수 있습니다.
  • 식이 요인: 갑작스러운 사료 교체, 상한 음식 섭취, 고지방 간식 등이 대장 점막에 자극을 줄 수 있습니다.
  • 스트레스: 환경 변화나 과도한 긴장이 장 운동과 면역에 영향을 미쳐 대장염을 촉발할 수 있습니다.
  • 독성 물질 섭취: 독성 식물, 약물 등도 장 점막 손상을 일으킬 수 있습니다.

주요 증상

  • 갑작스러운 혈변(선홍색 혈액)
  •  점액이 섞인 잦은 설사
  • 식욕 저하, 기력 감소
  • 복부 통증이나 불편감으로 인해 구부정한 자세
  • 심한 경우 탈수, 무기력, 구토 동반

강아지 출혈성 대장염 관리 시 보호자 역할

출혈성 대장염은 증상이 급성으로 나타나기 때문에 보호자의 신속한 대응이 무엇보다 중요합니다.

✔️ 혈변 확인 즉시 병원 내원: 하루만 지체해도 탈수가 빠르게 진행될 수 있습니다. 

✔️ 최근 식단 및 섭취 이력 기록: 먹은 음식, 간식, 쓰레기 접근 여부 등을 수의사에게 알려주면 진단에 도움이 됩니다.

✔️ 수분 보충: 동물병원 도착 전까지 소량의 물을 자주 제공해 탈수를 완화할 수 있습니다. 단, 억지로 먹이면 구토 위험이 있습니다.

강아지 출혈성 대장염, 빠른 내원이 필요합니다.

출혈성 대장염은 대부분 원인 파악과 함께 적절한 수액 치료, 항생제, 대장 보호제 투여로 호전될 수 있습니다. 하지만 방치하면 탈수 쇼크나 2차 감염으로 이어져 생명을 위협할 수 있으므로, 혈변이 확인되면 즉시 동물병원 진료가 필요합니다.

서울 강서구에 위치한 동물병원 강서YD동물의료센터는 강아지, 고양이 질병을 비롯하여 반려동물에게 나타날 수 있는 다양한 병증을 24시간 진료하고 있습니다. 야간 및 응급 시에도 방문 및 전화 문의가 가능하며 각 분야 전공의의 협진을 통해 반려견과 반려묘의 건강 상태를 빠르게 검진하고 정확하게 진료할 수 있는 프로세스를 보유하고 있지요. 고온, 구토, 설사, 처지고 무기력한 모습, 의식 저하 등 반려동물에게 평소와 다른 모습들이 관찰되었다면 대표번호(02-518-7500) 혹은 채팅을 통하여 언제든 도움을 드리도록 하겠습니다.  이상 강서구동물병원 강서YD동물의료센터였습니다.