강서 YD 진료 케이스

강아지 침샘낭종 치료 케이스 – 강서구 동물병원

강아지가 갑자기 턱 밑이 부풀거나, 한쪽 얼굴이 비대칭으로 보이는 증상이 나타나면 단순한 림프절염이나 종양으로 오해하기 쉽지만, 침샘낭종(Sialocele)이라는 비교적 흔한 질환일 수 있습니다. 오늘은 턱 밑 멍울과 통증을 증상으로 내원한 3살 강아지의 사례를 통해, 침샘낭종의 진단과 치료 과정을 자세히 소개드리겠습니다.

강아지 침샘낭종 치료 케이스

이번 환자는 3살의 중성화한 암컷 강아지로 보호자님께서는 내원 당일 “우측 턱 밑에 멍울이 잡히고, 만지면 아파한다”는 증상으로 내원하셨습니다. 최근 외상이나 이물섭취 등의 특이사항은 없었으며, 식욕과 활동성은 비교적 유지되고 있었습니다. 정확한 진단을 위해 신체검사와 세포학적 검사를 진행하였습니다.

강아지 침샘낭종 진단

신체 검사 결과

내원 당시 환자는 우측 턱 밑 부위에 부드럽게 만져지는 멍울이 있었고, 촉진 시 통증 반응과 함께 말랑하고 파동감이 느껴지는 낭성 구조가 확인되었습니다. 부종의 범위는 하악 침샘(턱밑샘) 주변에 국한되어 있었으며, 다른 림프절이나 타액선 부위에는 이상이 관찰되지 않았습니다. 정확한 병변의 위치와 내부 상태를 확인하기 위해 초음파 검사를 실시하였습니다.

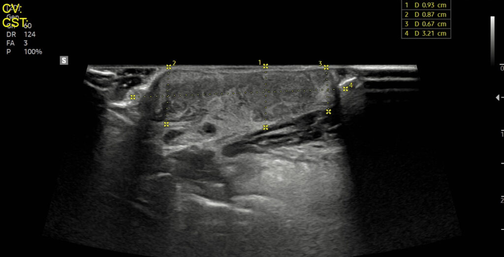
초음파 검사 결과 

우측 턱밑샘 주변에서 fluid(액체) 음영이 확인되었고, 이 소견을 바탕으로 침샘낭종(sialocele) 또는 농양(abscess) 의 가능성이 고려되었습니다. 이에 따라 초음파 가이드 하 세침흡인검사(FNA, Fine Needle Aspiration) 를 진행하였으며, 혈액과 점액이 섞인 삼출물 약 1mL를 채취하여 세포학적 검사를 의뢰했습니다.

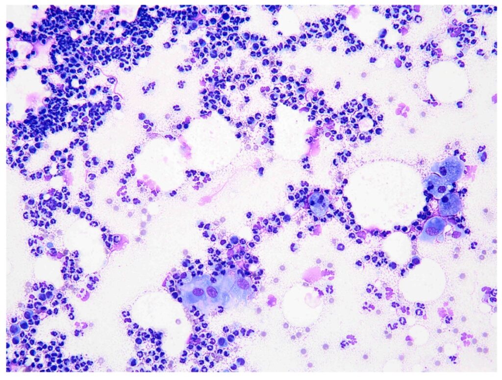
세포학적 검사 결과

염증성 유핵세포들이 다수 관찰되었고, 호중구(neutrophil) 가 우세하게 분포한 급성 염증성 병변으로 확인되었습니다. 종양성 세포나 이상 세포는 관찰되지 않아, 염증성 침샘낭종(Sialocele with inflammatory reaction) 으로 최종 진단하였습니다.

강아지 침샘낭종 치료 

진단 직후, 환자는 항생제와 소염제 복용을 통해 염증을 조절하고 2차 감염을 예방하는 치료를 시작했습니다. 또한 병변 부위의 소독을 통해 침샘 내 삼출물 배출을 도왔으며, 압력이 높아 불편감을 주던 낭종 내부의 액체를 천자를 통해 배액하여 내부 압력을 완화시켰습니다.

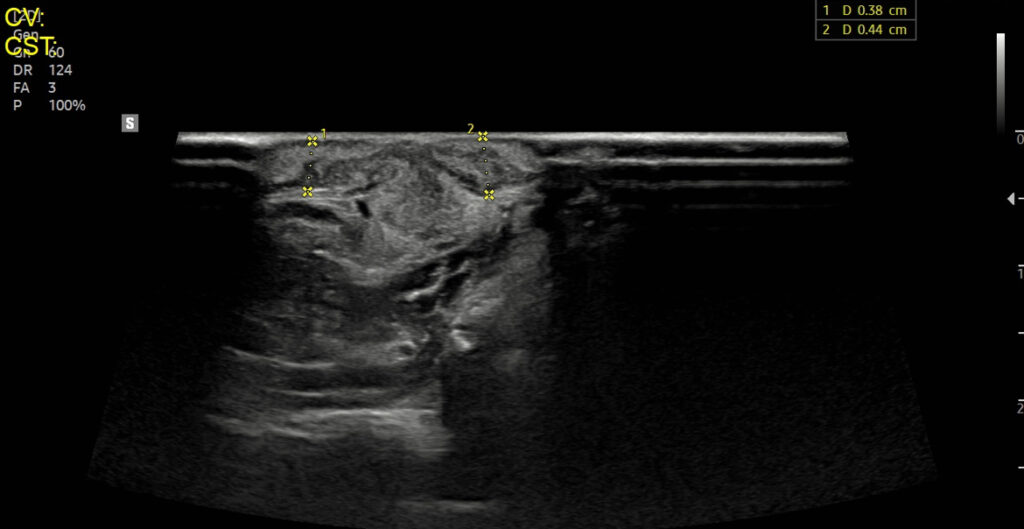
치료 후 재진

치료 경과는 매우 양호했습니다. 치료 후 촉진 시 멍울이 잡히지 않았으며, 촉진 상 통증이 없어졌습니다.   재진 시 초음파 검사에서도 더 이상 fluid(액체) 음영이 관찰되지 않았습니다.

환자는 치료 후 경과는 매우 양호했으며, 재발 소견 없이 완전 회복되어 외래 추적관찰로 전환되었습니다.

강아지 침샘낭종이란?

침샘낭종(Sialocele)은 침샘 또는 침샘관이 손상되어, 침이 조직 사이로 새어나와 고이는 질환입니다. 침이 빠져나가지 못해 주머니(낭종)가 형성되고, 시간이 지나면 커지며 통증이나 불편감을 유발합니다.

주요 원인

  • 목줄 압박, 충격 등 외상
  • 침샘관 염증 또는 침석(sialolith)
  • 선천적 구조 이상
  • 드물게 침샘 종양

대표 증상

  • 턱 밑이 한쪽만 부음
  • 부드럽고 말랑한 덩어리 촉진
  • 음식 삼키기 불편, 침 흘림
  • 심한 경우 통증, 염증, 발열 동반

강아지 침샘낭종 치료 및 예후

1. 단순 배액만으로는 재발할 수 있습니다

침샘낭종은 침샘관이 손상되어 생긴 누출성 질환으로, 단순히 액체를 빼는 것만으로는 원인이 해결되지 않습니다. 시간이 지나면 같은 부위에 다시 침이 고이면서 낭종이 재형성될 수 있습니다. 따라서 반복적으로 부종이 생기거나, 약물치료 후에도 부위가 단단하게 남는다면 근본 원인인 침샘 자체를 제거하는 외과적 치료가 필요할 수 있습니다. 

2. 염증이 심하지 않다면 약물치료로도 회복 가능합니다

초기 단계의 염증성 침샘낭종이라면, 항생제·소염제 치료와 배액, 온찜질만으로도 충분히 회복될 수 있습니다. 이번 환자의 경우처럼 초기에 병원을 방문해 정확한 진단과 치료를 받은 경우, 침샘 제거 수술 없이도 빠르게 염증이 가라앉고 완치로 이어질 수 있습니다.

3. 조기 진단이 치료 방향을 결정합니다

같은 침샘낭종이라도 염증 정도, 감염 동반 여부, 낭종 위치에 따라 치료 방법이 달라집니다. 초음파와 세포검사(FNA) 를 통해 단순 염증성 낭종인지, 농양이나 종양이 동반된 병변인지 정확히 구분하는 것이 치료의 핵심입니다. 진단이 빠를수록 치료 범위가 줄고, 회복 기간도 단축됩니다.

4. 턱 밑 부종은 반드시 침샘낭종을 감별해야 합니다

강아지의 턱 밑이 갑자기 부었거나, 한쪽만 말랑하게 만져지는 경우, 통증 없이 서서히 커지거나, 음식 삼킬 때 불편해한다면 반드시 병원 진료가 필요합니다. 빠른 진단과 적절한 치료가 불필요한 수술을 막고, 회복을 앞당기는 가장 좋은 방법입니다.

강아지 침샘낭종 빠른 내원이 필요합니다.

침샘낭종은 단순한 멍울이 아니라, 침샘관 손상으로 침이 조직에 고이는 질환으로 방치 시 점점 커지거나 2차 염증으로 발전할 수 있습니다. 턱 밑이나 혀 밑에 부드러운 덩어리가 만져지거나, 음식을 삼킬 때 불편해한다면 단순 림프절염이나 종양으로 오해하지 말고 즉시 검진이 필요합니다. 

강아지의 턱 밑이 한쪽만 부어 있거나 말랑한 종창이 느껴진다면, 단순한 종양이나 붓기로 넘기지 말고 침샘낭종 가능성을 염두에 두어야 합니다. 빠른 진단과 정확한 치료가 재발을 막고, 반려견의 회복을 앞당기는 가장 좋은 방법입니다.

서울 강서구에 위치한 동물병원 강서YD동물의료센터는 강아지, 고양이 질병을 비롯하여 반려동물에게 나타날 수 있는 다양한 병증을 24시간 진료하고 있습니다. 야간 및 응급 시에도 방문 및 전화 문의가 가능하며 각 분야 전공의의 협진을 통해 반려견과 반려묘의 건강 상태를 빠르게 검진하고 정확하게 진료할 수 있는 프로세스를 보유하고 있지요. 고온, 구토, 설사, 처지고 무기력한 모습, 의식 저하 등 반려동물에게 평소와 다른 모습들이 관찰되었다면 대표번호(02-518-7500) 혹은 채팅을 통하여 언제든 도움을 드리도록 하겠습니다. 이상 강서구동물병원 강서YD동물의료센터였습니다.