고양이에서 당뇨병은 비교적 흔하게 관리되는 만성 질환이지만, 혈당 조절이 불안정해지거나 췌장염과 같은 염증성 질환이 함께 발생할 경우 전신 상태가 빠르게 악화될 수 있습니다. 특히 식욕이 갑자기 감소하고 활력이 떨어지는 변화가 보인다면 단순 컨디션 저하가 아닌 당뇨 합병증 가능성을 고려해야 합니다. 오늘은 기존 당뇨와 췌장염 병력이 있던 고양이에서 고양이 당뇨병성 케톤산증(DKA)이 발생했으나 입원 치료 후 안정적으로 회복된 실제 케이스를 소개하겠습니다. 또한 본 사례는 강서YD동물의료센터에서 실제 치료된 케이스입니다.
실제 케이스: 고양이 DKA(당뇨병성 케톤산증), 췌장염 치료 사례
이번 환자는 13살 중성화 수컷 고양이로, 약 5년 전부터 당뇨와 간헐적인 췌장염 재발로 지속적인 치료 및 관리를 받고 있던 환자였습니다. 최근 췌장염 관리 중 식욕 저하가 확인되어 내원하였으며, 보호자님 말씀에 따르면 전날 저녁까지는 식사가 가능했으나 내원 당일 갑자기 사료를 거부하는 모습을 보였다고 합니다. 구토나 설사와 같은 뚜렷한 소화기 증상은 관찰되지 않았지만, 당뇨 병력이 있는 환자에서 식욕 변화는 혈당 이상이나 합병증 신호일 수 있어 주의가 필요했습니다.
내원 전 아침에 측정된 공복 혈당은 409 mg/dL로 확인되었으며, 지속적인 고혈당 상태가 유지되고 있는 것으로 판단되었습니다. 당뇨 환자에서 식욕 저하가 나타나는 경우 고양이 당뇨병성 케톤산증(DKA)과 같은 응급 합병증 가능성을 확인해야 하기 때문에 전반적인 혈액검사와 영상검사를 포함한 종합적인 평가를 진행하였습니다.
고양이 DKA 및 췌장염 진단 과정
혈액검사 결과 대사성 산증이 확인되었으며, 혈중 케톤 수치는 2.9 mmol/L로 증가되어 있었고, 혈당은 451 mg/dL로 고혈당 상태가 확인되었습니다. 케톤 수치 상승은 체내 에너지 대사가 정상적으로 이루어지지 못하고 지방 분해가 증가하면서 발생하는 변화로, 일정 수준 이상 상승할 경우 케톤산증으로 진행할 수 있습니다.
복부 초음파 검사에서는 기존 병력과 같이 췌장 비후가 지속적으로 관찰되었고, 담낭벽 비후가 함께 확인되어 담낭염 소견도 동반된 상태였습니다. 이러한 결과를 종합했을 때 췌장염과 담낭염이 함께 존재하는 상황에서 혈당 조절이 어려워지며 고양이 당뇨병성 케톤산증(DKA)이 발생한 것으로 판단하였습니다.
내원 첫날 혈액검사 결과
케톤혈증 및 대사성 산증 소견 확인

내원 첫날 뇨검사 결과
요당 +++ 및 케톤뇨 확인

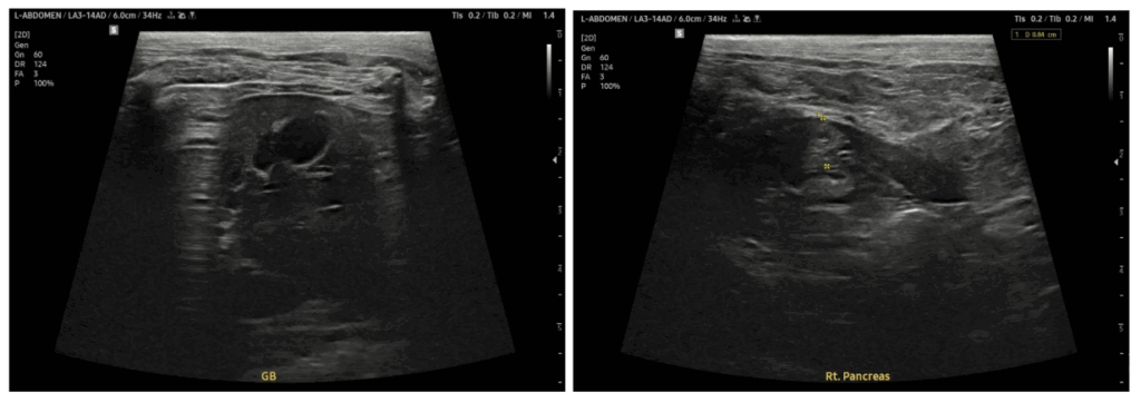
내원 첫날 복부 초음파 검사 결과
췌장 비후 및 담낭벽 비후 확인

고양이 DKA 및 췌장염 치료 과정
당뇨병성 케톤산증은 탈수와 전해질 불균형이 동반되는 경우가 많기 때문에 초기 치료에서는 수액 처치를 통한 체액 균형 회복이 중요합니다. 본 환자는 입원 후 수액 치료를 우선적으로 진행하였으며, 식사 섭취가 어려운 상태였기 때문에 영양 공급을 위해 비강 튜브를 장착하여 급여를 진행하였습니다.
수액 처치를 통해 탈수 상태가 개선되면서 다음날 혈액검사에서는 산증이 교정되는 모습을 확인할 수 있었지만, 케톤 수치는 5.0 mmol/L로 상승한 상태가 확인되었습니다. 이후 충분한 수화 상태가 확보된 뒤 인슐린 처치를 시작하였습니다.
연속혈당측정기(CGMS)를 통해 실시간 혈당 변화를 확인하며 보다 정밀한 인슐린 조절을 진행하였고, 전해질 교정을 병행하였습니다.
2일차 수액 치료 이후 혈액검사 결과
산증이 점차 개선되는 양상 확인, 케톤 수치 변화 모니터링

인슐린 치료를 시작한 이후 3일차 검사에서는 식욕이 점차 회복되는 모습을 보였고, 혈중 케톤 수치도 0.3 mmol/L로 감소하여 정상 범위로 회복되는 것을 확인할 수 있었습니다. 임상증상 개선 보이고 혈당곡선도 개선 보여 인슐린 종류, 용량을 변경해 치료를 이어나갔습니다.
인슐린 치료 3일차 혈액검사 결과
케톤 수치 정상 범위 회복 및 산염기 균형 안정화 확인

통원치료 전환 후 일주일 뒤 초음파 상 췌장, 담낭벽 비후 개선 보이고 케톤산증 상태 재발 없이 안정적으로 유지되어 현재 정기적인 당뇨 관리 외 치료 종료되었습니다.
재진 복부 초음파 검사 결과
췌장 비후 및 담낭벽 비후 개선 확인

✔ 수액 처치를 통한 탈수 교정 및 산증 개선
✔ 비강튜브 장착 후 영양 공급 진행
✔ 연속혈당계 장착 통한 혈당 모니터링
✔ 인슐린 치료 후 케톤 수치 정상 범위 감소
✔ 췌장염 및 담낭염 개선 확인 후 통원 치료 전환
고양이 DKA(당뇨병성 케톤산증)란?
고양이 당뇨병성 케톤산증(DKA)은 인슐린 부족으로 인해 체내 포도당 이용이 어려워지면서 지방 분해가 증가하고, 그 과정에서 생성되는 케톤체가 혈액 내에 축적되어 발생하는 상태를 의미합니다. 케톤체가 증가하면 혈액이 산성으로 변하면서 대사성 산증이 발생하고 탈수, 전해질 불균형 등 전신적인 이상이 함께 나타날 수 있습니다.
고양이에서는 당뇨병 관리가 불안정하거나 췌장염, 감염, 스트레스 등으로 인해 혈당 조절이 어려워질 때 고양이 당뇨병성 케톤산증(DKA)이 발생할 수 있습니다. 특히 식욕이 급격히 감소하거나 무기력한 모습이 보인다면 빠른 검사가 필요합니다.
췌장염과 당뇨는 함께 나타날 수 있습니다
고양이 췌장은 인슐린 분비와 소화 효소 분비를 모두 담당하는 기관으로, 췌장에 염증이 발생하면 인슐린 분비 기능에도 영향을 줄 수 있습니다. 따라서 췌장염이 악화될 경우 혈당 조절이 어려워질 수 있으며, 기존 당뇨 환자에서는 고양이 당뇨병성 케톤산증(DKA) 발생 위험이 증가할 수 있습니다.
특히 고양이에서는 췌장염, 담낭염, 장염이 함께 나타나는 경우도 비교적 흔하기 때문에 영상검사를 통한 종합적인 평가가 중요합니다.
고양이 DKA 주요 증상
당뇨병성 케톤산증은 초기에는 단순 식욕 저하나 활력 감소처럼 보일 수 있지만, 진행될 경우 다양한 전신 증상이 나타날 수 있습니다.
✔ 식욕 저하
✔ 무기력
✔ 체중 감소
✔ 탈수
✔ 호흡 변화
✔ 구토
✔ 혈당 상승
특히 기존 당뇨 치료 중인 환자에서 갑자기 식사량이 줄어들거나 활력이 떨어지는 변화가 보인다면 빠른 내원이 필요합니다.
고양이 당뇨 합병증, 빠른 치료가 중요합니다.
당뇨병성 케톤산증은 적절한 치료가 이루어지지 않을 경우 전신 상태가 빠르게 악화될 수 있는 질환이지만, 조기에 발견하여 수액 치료와 인슐린 치료를 적절히 진행하면 안정적으로 회복되는 경우가 많습니다. 이번 케이스 역시 식욕 저하라는 비교적 초기 변화 단계에서 검사를 진행하여 빠르게 치료 방향을 설정할 수 있었고, 입원 치료 후 혈당과 케톤 수치가 안정적으로 회복되는 경과를 보였습니다.
이처럼 고양이 당뇨나 췌장염 병력이 있는 경우에는 작은 식욕 변화도 단순한 컨디션 저하로 넘기지 않고 빠르게 확인하는 것이 중요합니다.
서울 강서구에 위치한 동물병원 강서YD동물의료센터는 강아지, 고양이 질병을 비롯하여 반려동물에게 나타날 수 있는 다양한 병증을 24시간 진료하고 있습니다. 야간 및 응급 시에도 방문 및 전화 문의가 가능하며 각 분야 전공의의 협진을 통해 반려견과 반려묘의 건강 상태를 빠르게 검진하고 정확하게 진료할 수 있는 프로세스를 보유하고 있지요. 고온, 구토, 설사, 처지고 무기력한 모습, 의식 저하 등 반려동물에게 평소와 다른 모습들이 관찰되었다면 대표번호(02-518-7500) 혹은 채팅을 통하여 언제든 도움을 드리도록 하겠습니다. 이상 강서구 동물병원 강서YD동물의료센터였습니다.