강서 YD 진료 케이스

고양이 EHBO, 담낭 및 담도 내 슬러지 치료 케이스 – 강서구 동물병원

고양이가 갑자기 구토를 반복하거나 식욕이 떨어지는 모습을 보이면 단순 위장 문제로 생각하기 쉽습니다. 하지만 이러한 증상이 며칠 이상 이어지거나 반복된다면 단순 소화 문제를 넘어 담도계 질환이나 췌장 질환처럼 보다 정밀한 평가가 필요한 상황일 수 있습니다. 오늘은 담관 폐색(EHBO)과 담낭 슬러지가 함께 확인되었고, 치료 후 현재까지 안정적으로 관리되고 있는 고양이의 실제 케이스를 소개드리겠습니다.

실제 케이스: EHBO(담관 폐색) 및 담낭 슬러지 치료 사례

이번 환자는 14살 수컷 고양이로, 4일 전부터 구토와 식욕 저하 증상을 보여 내원하였습니다. 보호자님 말씀에 따르면 해당 환자는 접종, 구충, 건강검진을 단 한 번도 받은 적이 없었으며, 최근 들어 구토가 이어지고 식사량도 줄어든 상태였습니다. 내원 당시 체온, 혈압, 호흡수, 청진상 특이사항은 확인되지 않았지만, 복부 촉진 시 통증 반응이 확인되어 단순 일시적 위장 문제만으로 보기 어려운 상황이었습니다.

담관폐색 및 담낭 슬러지 진단

이에 따라 혈액검사와 방사선 검사, 복부 초음파 검사를 포함한 전반적인 평가를 진행하였습니다. 혈액검사에서는 췌장염 지표인 fPL이 양성으로 확인되었고, 간 수치도 함께 증가되어 있었습니다. 방사선 검사에서는 장폐색이나 명확한 이물 소견은 보이지 않았지만 대변 정체가 일부 확인되었습니다. 

내원당시 복부방사선검사 결과 / 출처: 강서YD 동물의료센터

이어서 진행한 복부 초음파 검사에서는 췌장염 소견과 함께 위벽 및 일부 장 근층 비후가 관찰되었고, 담낭관(Cystic duct)과 총담관(CBD)이 심하게 확장되어 있으며 내강 내 슬러지가 확인되었습니다. 또한 담낭 내에는 중등도의 슬러지와 담석이 있었고, 간 내 담도 결석과 전반적인 간 에코 증가도 함께 확인되었습니다.

내원당시 복부초음파 검사 결과 / 출처: 강서YD동물의료센터

이상의 결과를 종합했을 때, 이번 환자는 만성 췌장염과 위장관염에 의해 구토와 식욕 저하 증상이 발생한 것으로 보였지만, 그와 별개로 담관이 막혀 있는 상태와 담낭 및 담도 내 슬러지에 대한 치료가 반드시 필요한 상황으로 판단하였습니다. 담즙이 원활하게 흐르지 못하는 상태가 지속되면 간 기능 저하와 전신 상태 악화로 이어질 수 있기 때문에, 췌장 및 위장관 염증 관리뿐 아니라 담도계 문제에 대한 적극적인 치료가 필요했습니다.

담관폐색 및 담낭 슬러지 치료

치료는 입원 상태에서 수액 처치와 주사제 처치를 중심으로 진행하였고, 담즙 흐름의 개선과 전신 상태 안정화를 함께 도모하였습니다. 치료를 이어가는 과정에서 증상은 점차 호전되었고, 막혀 있던 담관 역시 담석이 이동하면서 개선되는 모습을 확인할 수 있었습니다.

내원 당시 및 치료 중 혈액검사( 3일차, 2일차, 1일차, 내원당시) 결과 / 출처: 강서YD동물의료센터

 이후 추적 검사에서는 간 수치가 하락하였고, 초음파상 확장되어 있던 Cystic duct의 직경이 감소하였으며 담낭 확장도 줄어드는 양상이 확인되었습니다. 이에 따라 반응성이 양호하다고 판단하여 입원 치료에서 통원 치료로 전환하였습니다.

퇴원 당시 복부 초음파 결과 / 출처: 강서YD동물의료센터

퇴원 당시 혈액검사 결과 / 출처: 강서 YD동물의료센터

치료 경과 역시 단계적으로 확인할 수 있었습니다.

✔ 수액 및 주사 치료 후 구토와 식욕 저하 증상 개선

✔ 담석이 이동하면서 막혀 있던 담관 상태 호전

✔ 간 수치 하락

✔ 초음파상 Cystic duct 확장 감소 및 담낭 확장 감소

✔ 통원 치료로 전환 후 정기 검사와 내복약 복용 지속

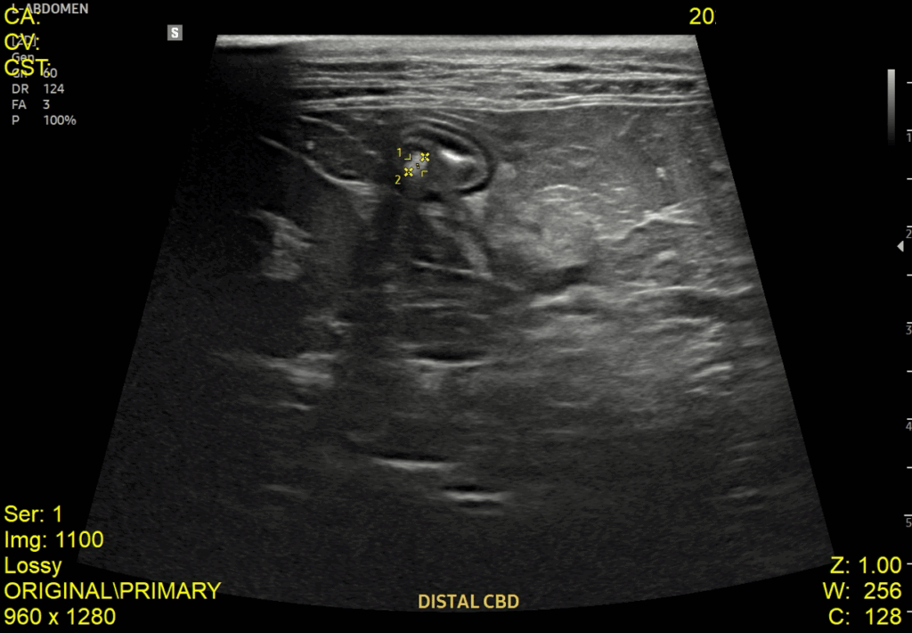
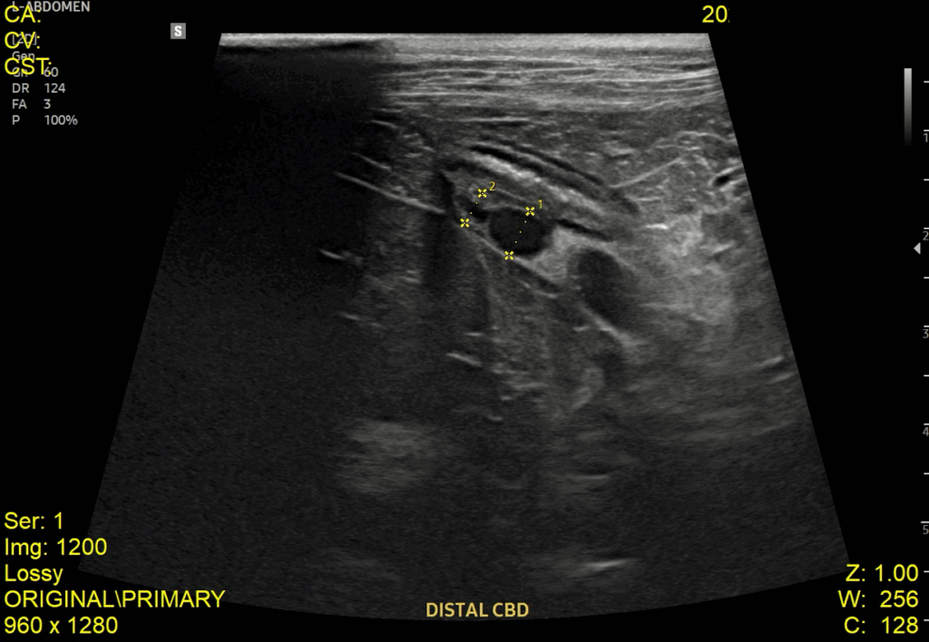
현재는 정기적인 검사와 내복약 복용을 통해 지속적으로 관리하고 있으며, 최근 추적 초음파에서는 담관 내 슬러지가 사라진 상태를 확인하였고 담낭 내 슬러지도 이전보다 개선된 상태입니다. 또한 총담관(CBD) 확장 역시 호전된 상태로 유지되고 있어 안정적으로 관리 중입니다. 보호자님께서도 식욕, 구토 여부, 전반적인 활력 변화를 꾸준히 관찰하며 치료에 적극적으로 협조해주신 덕분에 좋은 경과를 보이고 있습니다. 

정기 복부초음파 검사 / 출처: 강서YD동물의료센터

고양이 EHBO(담관 폐색)란?

EHBO는 Extrahepatic Biliary Obstruction의 약자로, 간 밖에 위치한 담관이 막혀 담즙이 정상적으로 흐르지 못하는 상태를 말합니다. 담즙은 지방 소화에 중요한 역할을 하는 소화액으로, 간에서 만들어져 담낭을 거쳐 장으로 배출됩니다. 그런데 이 흐름이 막히면 담즙이 정상적으로 배출되지 못하고 정체되면서 간과 담도계에 부담이 커지게 됩니다. 그 결과 간 수치 이상, 구토, 식욕 저하, 황달과 같은 다양한 임상 증상이 나타날 수 있으며, 상태가 심해지면 전신 컨디션이 급격히 떨어질 수도 있습니다. 고양이에서는 췌장염, 담낭염, 담석, 담도 내 슬러지, 종양성 질환 등 여러 원인에 의해 EHBO가 발생할 수 있습니다.

담낭 및 담도 내 슬러지는 왜 문제일까요?

담낭 슬러지는 담즙이 정상적으로 배출되지 못하고 정체되면서 점액, 세포 찌꺼기, 콜레스테롤 성분 등이 섞여 점성이 높은 형태로 변한 상태를 의미합니다. 초기에는 무증상으로 지나갈 수도 있지만, 슬러지가 증가하거나 담도 내까지 영향을 미치게 되면 담즙 흐름을 방해하고 담석 형성이나 담관 폐색으로 이어질 수 있습니다.

특히 고양이에서는 췌장과 담도, 장이 해부학적으로 가깝고 서로 영향을 주기 쉬워, 췌장염과 담도계 이상이 함께 나타나는 경우도 적지 않습니다. 따라서 단순히 담낭 안에 찌꺼기가 조금 보인다는 개념으로 가볍게 보기보다는, 현재 증상과 혈액검사, 초음파 소견을 함께 해석하여 실제 치료가 필요한 상태인지 판단하는 것이 중요합니다.

간단히 말씀드리면 담낭 및 담도 내 슬러지는 다음과 같은 이유로 문제를 일으킬 수 있습니다.

✔ 담즙 흐름을 방해할 수 있습니다.

✔ 담석 형성으로 이어질 수 있습니다.

✔ 담관 폐색을 유발하거나 악화시킬 수 있습니다.

✔ 간 기능 이상과 소화기 증상을 동반할 수 있습니다.

이런 증상이 있다면 정밀 검사가 필요합니다

고양이의 담도계 질환은 초기에 아주 뚜렷한 증상으로 나타나지 않는 경우가 많습니다. 하지만 반복적인 구토, 식욕 감소, 체중 감소, 무기력, 황달, 복부 통증 반응, 설사 또는 변비 같은 변화가 이어진다면 단순 소화불량이 아닌 간담도계 이상 가능성을 함께 고려해야 합니다. 특히 나이가 많은 고양이에서 이런 증상이 며칠 이상 지속되거나 좋아졌다 나빠지기를 반복한다면, 혈액검사만으로 끝내기보다 복부 초음파까지 포함한 정밀 평가가 도움이 되는 경우가 많습니다. 실제로 이번 케이스 역시 내원 당시 기본 활력징후에는 큰 이상이 없었지만, 복부 압통과 혈액검사, 초음파 소견을 통해 보다 중요한 문제를 확인할 수 있었습니다.

다음과 같은 변화가 있다면 빠른 검사가 필요합니다.

✔ 반복적인 구토

✔ 식욕 저하

✔ 체중 감소

✔ 무기력

✔ 황달

✔ 복부 통증 반응

✔ 변 상태 변화

고양이 담도계 질환, 조기 진단과 꾸준한 관리가 필요합니다.

담도계 질환은 겉으로 보이는 증상만으로는 단순 위장 질환과 구분이 어려운 경우가 많고, 발견이 늦어질수록 치료 기간이 길어지거나 상태가 더 복잡해질 수 있습니다. 따라서 구토가 반복되거나 식욕 변화가 이어질 때는 단순 일시적 증상으로만 넘기지 말고, 필요한 경우 혈액검사와 영상검사를 통해 원인을 확인하는 것이 중요합니다. 이번 케이스처럼 만성 췌장염과 위장관 염증이 함께 있는 상황에서도, 막힌 담관과 슬러지에 대한 문제를 놓치지 않고 치료 방향을 설정한 덕분에 현재까지 안정적으로 관리할 수 있었습니다.

서울 강서구에 위치한 동물병원 강서YD동물의료센터는 강아지, 고양이 질병을 비롯하여 반려동물에게 나타날 수 있는 다양한 병증을 24시간 진료하고 있습니다. 야간 및 응급 시에도 방문 및 전화 문의가 가능하며 각 분야 전공의의 협진을 통해 반려견과 반려묘의 건강 상태를 빠르게 검진하고 정확하게 진료할 수 있는 프로세스를 보유하고 있지요. 고온, 구토, 설사, 처지고 무기력한 모습, 의식 저하 등 반려동물에게 평소와 다른 모습들이 관찰되었다면 대표번호(02-518-7500) 혹은 채팅을 통하여 언제든 도움을 드리도록 하겠습니다. 이상 강서구동물병원 강서YD동물의료센터였습니다.